Case Studies – Metamorfozy
- Dentysta Gdańsk
- Case Studies – Metamorfozy
Wszystko
Implanty
Korekta zgryzu
korony
Licówki
Mosty
Rekonstrukcja

Metamorfoza nr 12
Leczenie poprzedziła szczegółowa diagnostyka, który pozwolił precyzyjnie zaplanować cały proces.
Zobacz więcej

Metamorfoza nr 11
Po diagnostyce i planowaniu cyfrowym, zaproponowano leczenie typu „uśmiech w jeden dzień”.
Zobacz więcej

Metamorfoza nr 10
Stworzyliśmy spersonalizowany plan leczenia, dopasowany do jego anatomii, możliwości i oczekiwań.
Zobacz więcej

Metamorfoza nr 9
Naszym celem było stworzenie harmonijnego, naturalnego i jednocześnie rozświetlonego uśmiechu.
Zobacz więcej

Metamorfoza nr 8
rekonstrukcję zębów przy pomocy koron, mostu porcelanowego, onlay’a i licówek Emax w odcieniu BL3.
Zobacz więcej

Metamorfoza nr 7
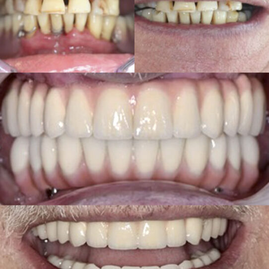
Zdecydowaliśmy się na wykonanie pracy na implantach typu All on 6 w szczęce oraz All on 4 w żuchwie.
Zobacz więcej

Metamorfoza nr 6
W jeden dzień wykonano ekstrakcję zębów, wszczepienie implantów i osadzenie tymczasowej pracy protetycznej.
Zobacz więcej

Metamorfoza nr 5
W ostatniej fazie leczenia ortodontycznego założyliśmy dwa implanty z użyciem szablonu chirurgicznego,
Zobacz więcej

Metamorfoza nr 4
Po dokładnej analizie estetycznej i funkcjonalnej oraz badaniu Gerbera powstał indywidualny, cyfrowy projekt uśmiechu.
Zobacz więcej

Metamorfoza nr 3
Implantacja natychmiastowa w żuchwie wraz z jednoczesnym przykręcanym mostem
Zobacz więcej

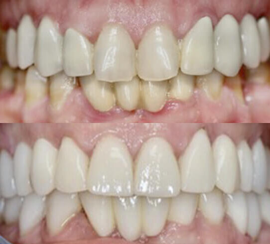
Metamorfoza nr 2
Wymiana starych mostów porcelanowych na nowe i wykonanie licówek porcelanowych
Zobacz więcej

