Leczymy kompleksowo – przypadek Pana Marcina

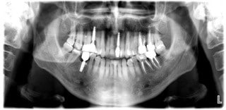
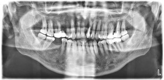
45 letni Pan Marcin i trafił do naszego gabinetu z polecenia. Miał problemy z wieloma zębami- stany zapalne, dolegliwości bólowe podczas jedzenia, brak zęba szóstego widoczny w uśmiechu, sprawiający kłopoty podczas żucia oraz nieestetyczne uzupełnienie stałe (koronę) na jedynce górnej.
Podczas pierwszej wizyty w Prodent Gdańsk przeprowadzony został z pacjentem wywiad medyczny, wykonane zostały zdjęcia wewnątrzustne i badania rentgenowskie wraz z tomografią komputerową. Pan Marcin miał też możliwość przedstawić nam swoje oczekiwania. Pacjent został umówiony na higienizację, a doktor Ewa Odya-Bojanowska jako lekarz koordynujący wykonała kompleksowy plan leczenia w oparciu o przeprowadzone wcześniej badania rentgenowskie, przegląd stanu jamy ustnej i zębów oraz badania łukiem dynamicznym Gerbera. Zaplanowano kompleksowe leczenie w centralnej relacji, wyrównanie płaszczyzny zgryzu, zbilansowane kontakty okluzyjne zabezpieczające pacjenta przed wieloma problemami przyszłości.
Leczenie przewidywało następujące procedury:
Po trzech miesiącach..


Wykonano na podstawie przygotowanych wcześniej przez technika Jacka Skrzyńskiego z PreciLab wax-upów – preparacje zębów, wyciski masą polieterową Impregum. Dodatkowo, zęby zostały zabezpieczone koronami tymczasowymi.
Następnie, pracownia Preci Lab wykonała pracę z wykorzystaniem łączników indywidualnych Atlantis oraz korony na tlenku cyrkonu i onlaya’e E-max. Pacjent zyskał komfort gryzienia i piękny uśmiech, dzięki wykonaniu pracy w centralnej relacji oraz pozbyciu się bakterii z kanałów korzeniowych (poprzez leczenie kanałowe).




