Metamorfoza nr 2
- Dentysta Gdańsk
- Portfolio
- Metamorfoza nr 2
Twój piękny uśmiech jest w zasięgu ręki. Zobacz, co możemy zrobić dla Twojego uśmiechu. Umów się na konsultację i poznaj możliwości.
Zadzwoń do nas, gdy potrzebujesz pomocy!
+48 662 255 129
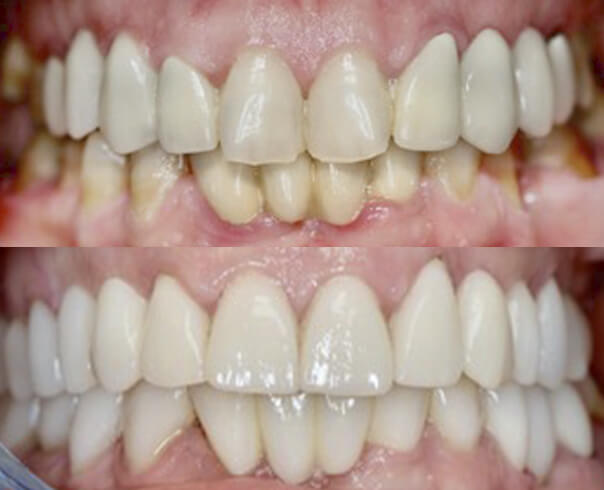
Wymiana starych mostów porcelanowych na nowe i wykonanie licówek porcelanowych
Opis przypadku
Pacjentka zgłosiła się do kliniki Prodent w celu wymiany starych mostów porcelanowych na nowe i wykonania pięknych licówek porcelanowych. Pacjentka cierpi na hypodoncje -brak części zębów stałych. Praca obejmowała rekonstrukcję zwarcia w prawidłowej pozycji żuchwy, zwiększenie wymiaru pionowego.
U pacjentki wykonano następujące procedury:
Rejestracja łukiem Gerbera,
Wax-up w centralnej relacji,
Licówki E-max,
Mosty cyrkonowe,
Leczenie przeprowadziła – dr Ewa Odya-Bojanowska. Wykonanie pracy protetycznej – Jacek Skrzyński Preci lab

