Metamorfoza nr 3
- Dentysta Gdańsk
- Portfolio
- Metamorfoza nr 3
Twój piękny uśmiech jest w zasięgu ręki. Zobacz, co możemy zrobić dla Twojego uśmiechu. Umów się na konsultację i poznaj możliwości.
Zadzwoń do nas, gdy potrzebujesz pomocy!
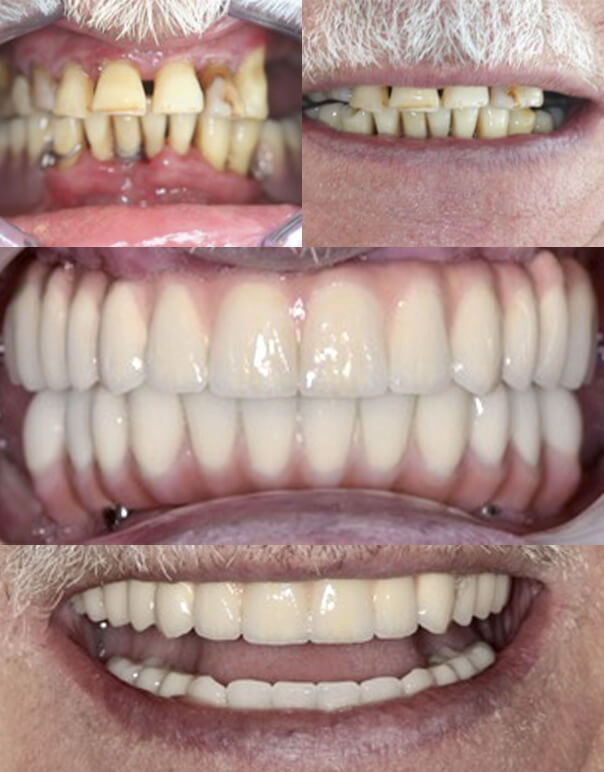
Rozwiazanie typu „all on six”
Opis przypadku
Pacjent pojawił się w celu wymiany starych uzupełnień protetycznych. Po badaniu i analizie wykonanych zdjęć tomografii komputerowej stwierdzono, że wszystkie zęby obecne w jamie ustnej niestety z powodu paradontozy będzie trzeba usunąć. Zaproponowano pacjentowi implantacje natychmiastową w żuchwie wraz z jednoczesnym przykręcanym mostem tymczasowym na implantach -rozwiazanie typu „all on six „. W szczęce natomiast z powodu bardzo złych warunków -zabiegi sinus lift obustronny oraz po kilku miesiącach implantacje oraz protezę typu overdenture wspartą na belce tytanowej
U pacjenta wykonano następujące procedury:
Leczenie przeprowadziła – dr Ewa Odya-Bojanowska. Wykonanie pracy protetycznej – Jacek Skrzyński Preci lab

